泌尿器科
泌尿器科
腎臓や膀胱など排尿に関わる場所(=泌尿器)の病気を診察する科です。
腎不全や尿路結石などが代表的な病気です。
当院では腎不全の早期発見のための検査から、自宅でのケアも含めた総合的な管理を行っています。
尿路結石も点滴やお薬や食事療法などの内科的治療はもちろん、それらの治療では対処しきれない重度のものに対しても、手術で直接結石を取り出せる体制を整えています。
泌尿器科の病気
腎不全(急性腎不全、慢性腎不全)、尿路結石(腎結石、尿管結石、膀胱結石、尿道結石)、膀胱炎、腎盂腎炎、ネフローゼ症候群、ファンコーニ症候群、水腎症、腎嚢胞など
実績
1. 尿結石のコーギー(膀胱結石、尿道結石)
![]() |
血尿が出ている10歳のコーギー犬のお腹を横から撮ったレントゲン写真です。 左側が頭側、右側が尻尾側になります。 膀胱(白矢印)や尿道(黄矢印)に結石が濃い白色で見えました。 このままでは尿の通り道に細菌感染を起こしたり、腎不全を起こすリスクがあります。 |
![]() |
手術で取り出した結石です。 大小さまざまな石がたくさん出てきました。 |
2. 結石で尿の通路が塞がってしまった猫(尿管結石、尿管閉塞)
![]() |
|
|
急な吐き、食欲低下、尿が出ない症状の猫です。 レントゲン写真はお腹を横から撮ったものです。 尿管という腎臓と膀胱をつなぐ管がある辺りに、結石の白い影が見えました。 尿の通り道に結石が詰まっている状態です。 |
![]() |
![]() |
|
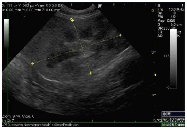
腎臓の超音波(エコー)画像です。
左が正常な腎臓、右が今回の猫の腎臓です。 真ん中の黒い部分が広がっていますが、これは結石によって先へ流れなくなってしまった尿が腎臓に溜まっているためです。 この状態が進行するほど、腎臓の機能は失われていきます。
腎臓の超音波(エコー)画像です。
上が正常な腎臓、下が今回の猫の腎臓です。 真ん中の黒い部分が広がっていますが、これは結石によって先へ流れなくなってしまった尿が腎臓に溜まっているためです。 この状態が進行するほど、腎臓の機能は失われていきます。 |
|
![]() |
手術によって取り出した石です。 数ミリ程度の大きさですが、こんなものでも細い尿管に詰まってしまうと尿が出なくなってしまいます。 |
![]() |
手術は石を取り除いただけでは終われません。 結石が詰まっていた場所は炎症を起こして腫れあがっているため、石が無くても塞がるリスクがあります。 そこで尿管の一部を膀胱へ繋げ、結石のあった場所を迂回する道を作りました。 写真の黄矢印は尿管と膀胱を繋げた場所です。 細かくてよく分からないと思いますが、それくらい小さくて細かいところの手術を手術用の顕微鏡を用いながら行っています。 |
![]() |
![]() |
|
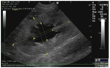
手術後の腎臓の超音波(エコー)画像です。 尿が溜まっていた真ん中の黒い部分が小さくなったのが確認出来ました。 手術後は尿が出るようになり、吐きも止まり、食欲も回復し、現在は元気で快調そのものに暮らしています。 |
|
![]() |
|
|
尿の通り道に管を通して、尿がきれいに流れるようにする方法もあります。 線のように見える白い影がありますが、これがステントと呼ばれる管です。(黄矢印) このようなミリ単位の太さの通り道に管を設置する繊細で難易度の高い手術も当院は行っています。 |
3. 結石で尿の通路が塞がってしまった猫(尿管結石、尿管閉塞)
|
2歳のアメリカンショートヘアの男の子です。 他院にて手術難しいとのことで内科的治療をしていましたが、改善がなく当院に来院されました。 |
![]() |
|
レントゲン写真はお腹を横から撮ったものです。 尿管という腎臓と膀胱をつなぐ管に、多数の結石の白い影が見えました。 尿の通り道に多数の結石が詰まっている状態です。 結石が尿管につまり、先へ尿が流れなくなり腎臓に尿が溜まっている状態です。重度の腎機能の低下を認めました。 |
|
SUBシステムという方法を使用し手術を実施いたしました。 |
|
|
SUBシステムとは、Subcutaneous Ureteral Bypassの略で、尿管結石や膀胱腫瘍などによる水腎症(尿管の通過障害により腎臓が拡張した状態)を呈した症例に対し、水腎症による腎障害の回避や排尿状態の改善を目的として、腎臓から膀胱へのバイパスを形成します。 左側の部分を腎臓に設置し、右下の部分を膀胱内に設置することで、尿管を使わずに直接バイパスさせます。 |
| 腎機能も落ちており厳しい状況でしたが手術は無事に成功しました。 |
![]() |
|
術後のレントゲン画像です。 左側の点線内が腎臓、右側の点線内が膀胱です。 また矢印で示している赤線の部分が尿管になります。 手術で腎臓と膀胱をSUBシステムでバイパスさせ尿を流れるようにしています。 |
![]() |
![]() |
|
左側が手術前、右側が手術後のエコー画像です。
手術前は尿が腎臓内に溜まってしまい水腎症の状態ですが(黄色矢印の黒い部分が流れないで溜まっている尿です)、術後正常な腎臓の構造に戻っている事が確認できました。 手術後は尿も流れるようになり、体調も回復し元気に退院できました。
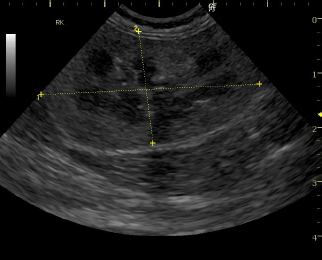
上側が手術前、下側が手術後のエコー画像です。
手術前は尿が腎臓内に溜まってしまい水腎症の状態ですが(黄色矢印の黒い部分が流れないで溜まっている尿です)、術後正常な腎臓の構造に戻っている事が確認できました。 手術後は尿も流れるようになり、体調も回復し元気に退院できました。 |
|
![]() |
|
| 今現在、定期的な皮下点滴・定期検査を行いながら元気に通院しております。 | |
































