整形外科
整形外科
骨や関節の病気を診察する科です。
歩き方・立ち方の異常、足腰の痛みが見られた場合は骨や関節の異常が疑われます。
整形外科の治療はやり直しが難しいため、初回からきちんとした診断・治療を行うことが大切です。
当院では骨折、膝や股などの関節の問題に対して、お薬による治療、手術、リハビリを含めた総合的な診療を行っています。
難易度の高い手術に際しては、外科専門の獣医師とともに手術に望んでいます。
整形外科の病気
膝蓋骨脱臼、股関節脱臼、骨折(四肢、骨盤、頭骨)、前十字靭帯断裂、股関節形成不全、レッグペルテスなど
実績
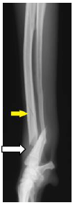
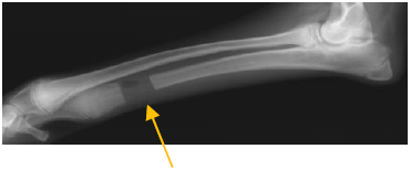
1. ボルゾイの前足の骨折(橈尺骨骨折)
![]() |
ボルゾイという大型犬の前足を横から見たレントゲン写真です。 前足の骨が折れて曲がっています。(白矢印) 骨にヒビが入っている部分もあります。(黄色矢印) |
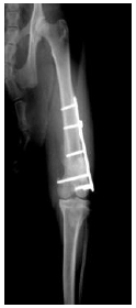
![]() |
プレートという器具を使って骨を固定したところです。 骨の折れ方のパターンや、大型犬であることを考慮して、 プレートを2枚使用して治療しています。 |
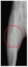
2. 中型犬の太ももの骨折(大腿骨骨折)
![]() |
治療前のレントゲン写真です。 太ももを正面から見た図ですが、骨が折れているのが分かります。(赤丸) |
![]() |
治療2ヵ月後のレントゲン写真です。 折れた骨が正常な位置でしっかり固定されているのが確認出来ます。 治療後、この子は痛みも無く元気に走り回っています。 |
3. 猫の太ももの骨折(大腿骨骨折)
![]() |
骨折時の写真です。 太ももを正面から見た写真ですが、骨が根本からポッキリ折れています。 |
![]() |
治療2ヵ月後のレントゲン写真です。 骨は元の位置にしっかり固定されています。 |
4. 交通事故にあった子猫の骨折
![]() |
交通事故後のレントゲン写真で、子猫の骨盤が正面から映っています。 本来くっついているはずの骨盤と腰骨がずれて脱臼しています。(赤矢印) 骨盤そのものも折れています。(黄矢印) |
![]() |
手術後のレントゲン写真です。 骨盤と腰骨の脱臼を直し、骨盤の骨折も元に戻して固定しました。 太ももの骨の付け根は、一つ前の写真の赤線のラインで切り落としてあります。 「骨を切り落とす」というと痛くて残酷そうにも思えますが、実際にはこの逆で、この処置を行わないと痛みが取れず、子猫が辛い思いをすることになります。 この子は無事に成長し、現在は元気に走り回っています! |
5. チワワの膝のお皿の脱臼(膝蓋骨脱臼)
![]() |
後ろ脚を正面から見たレントゲン写真です。 ちょっと見えにくいですが、膝のお皿(黄矢印)が内側にずれています。 |
![]() |
手術後の写真です。 膝のお皿を本来あるべきところに戻しました。 再び脱臼しないように、膝のお皿を支えている靭帯の位置も調節しています。 |
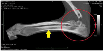
6. 5ヵ月齢の超大型犬の肘の成長異常(軟骨芯遺残に起因した肘関節異形成)
![]() |
前足の一部を横から見たCT写真です。 前足の骨(黄矢印)の成長異常があるため、他の骨との成長スピードに差が出てゆがみが生じ、肘の関節(赤丸)がおかしくなっています。 このまま放置しておくと、この子が成長するのに伴って、周りの骨や関節の変形がどんどん悪化していきます。 |
|
手術後のレントゲン写真です。 成長異常の骨をわざと切り、他の骨の成長を邪魔しないようにしています。 骨を切るのは怖そうに思えますが、この子は術後の痛みもなく、手術翌日にはいつも通り歩けるようになりました。 |





























