神経科
神経科
脳や神経の病気を診察する科です。
突然のけいれん、ふらつき、痛み、動けなくなった、などが見られた場合は神経の異常が疑われます。
てんかん、脳炎などの神経病の診断に対しては基本的な検査だけでなく、CT・MRIを持つ施設と連携して正しい診断・治療を行います。
神経科の病気
椎間板ヘルニア(頚部、胸部、腰部)、てんかん、脳炎(肉芽腫性、壊死性)、前庭疾患、脊髄空洞症、脊髄炎、馬尾症候群など
実績
1. 椎間板ヘルニア
椎間板ヘルニアは背骨と背骨の間にある椎間板という部分が飛び出て、近くにある神経を圧迫する病気です。
症状はヘルニアが起こった場所によって変わり、腰で起こった場合は下半身の麻痺、首で起こった場合は全身の麻痺がよく見られます。
![]() |
|
|
背骨を横からみたMRI画像です。 背骨の中を走る神経(脊髄)を椎間板が下から圧迫しています。 |
|
椎間板ヘルニアの背骨を正面からみた画像です。 |
正常な背骨を正面から見た像です。 |
![]() |
|
|
手術中の写真です。 神経が下から押され潰されているところです。 |
|
![]() |
|
|
椎間板を取り除いた後の写真です。 神経が正常な位置に戻りました。 |
|
当院院長は現在までに数百件の椎間板ヘルニアの診断・治療を行ってきましたが、突然歩けなくなったり、命に関わるケースも多数経験しています。
自宅で異常を感じましたら、早めの来院、早めの治療をお勧めします。
2. 脳炎
名前の通り、脳が炎症を起こした状態です。
実施可能な施設は限られますが、最近は動物にもMRI検査が行えるようになり、脳炎の診断も行えるようになりました。
脳炎には色々なタイプがあり、感染によるもの、免疫の異常によるものなど様々で、原因によって治療法も変わってきます。
|
下記は足のふらつきとケイレンで来院し、MRI検査で脳炎と診断した犬の頭の画像です。 |
||
![]() |
![]() |
![]() |
|
撮影条件を変えて頭を正面から撮った画像で、中に脳が見えます。 左右の脳で映り方が違い、片側が炎症を起こしているのが分かりました。 この子は軽い神経症状が残っているものの、治療により通常の生活を送っています。 |
||
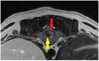
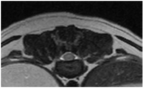
3. 脊髄炎
脊髄(せきずい)は背骨の中を通っている神経で、脊髄炎はここが炎症を起こした状態です。
![]() |
![]() |
|
左は左前足と左後足が麻痺して歩けなくなったチワワの首のMRI画像、右が正常な子の画像です。
矢印の部分が脊髄ですが、左の画像はより白く映り、炎症が起こっているのが分かりました。 現在は治療によって症状は落ち着いています。
上は左前足と左後足が麻痺して歩けなくなったチワワの首のMRI画像、下が正常な子の画像です。
矢印の部分が脊髄ですが、左の画像はより白く映り、炎症が起こっているのが分かりました。 現在は治療によって症状は落ち着いています。 |
|
※当院にMRI装置はありませんが、提携病院や撮影専門の検査センターにて実施しております。当院のスタッフが動物をお預かりし、撮影する場合もあります。

























